找回密码
 注册

子宫内膜异位症

作者:大江 | 时间:昨天 16:42 | 阅读:8| 显示全部楼层
主诉

慢性盆腔疼痛一年,伴性交疼痛。

患者资料

年龄:35岁

性别:女

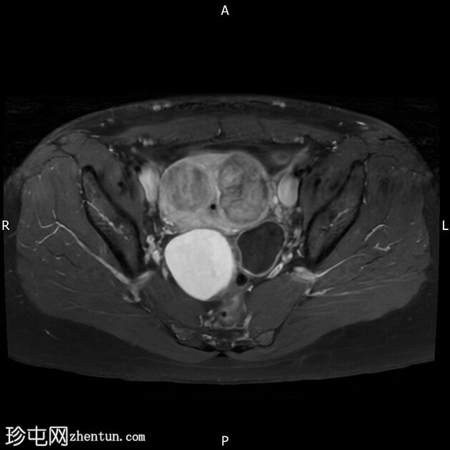
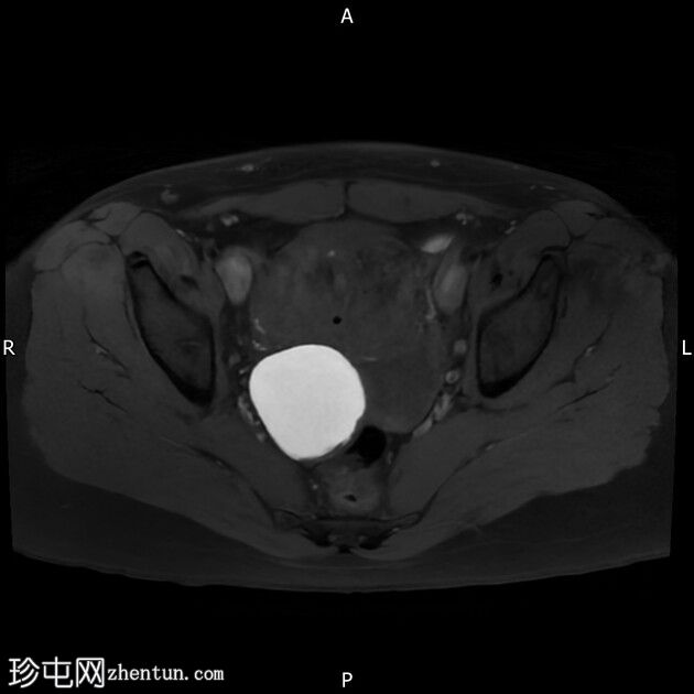
MRI
轴位T1加权像

脂肪抑制像
1.jpeg
冠状位
T2加权像
2.jpeg
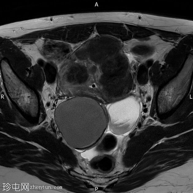
轴位
T2加权像
3.jpeg
轴位T1加权像

增强脂肪抑制像
4.jpeg
右侧卵巢囊肿,T2加权像呈低信号,T1脂肪抑制像呈高信号,大小为6 x 5.2 cm,符合子宫内膜异位囊肿的影像学表现。

左侧卵巢囊肿,T2加权像呈低信号,T1脂肪抑制像呈高信号,符合子宫内膜异位囊肿的影像学表现。

双侧卵巢粘连于后道格拉斯窝,呈“接吻卵巢征”。

多发性子宫肌瘤。宫内放置宫内节育器。

结论:双侧卵巢子宫内膜异位囊肿。多发性子宫肌瘤。

病例讨论

本病例显示右侧卵巢子宫内膜异位症,左侧卵巢囊肿内含出血性物质,并可见“接吻卵巢征”,诊断为卵巢子宫内膜异位囊肿伴可能粘连/深部盆腔子宫内膜异位症。

此外,还存在子宫肌瘤。
您需要登录后才可以回帖 登录 | 注册
Copyright © 2011-2026 东莞市珍屯医疗科技有限公司Powered by zhentun.com
返回顶部