找回密码
 注册

气肿性肾盂肾炎

作者:大江 | 时间:昨天 17:09 | 阅读:7| 显示全部楼层
临床表现

右侧腰部剧烈疼痛,肾功能受损。

患者资料

年龄:60岁

性别:女

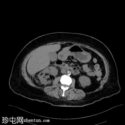
CT
轴位

平扫
1.jpg
冠状位

平扫
2.jpg
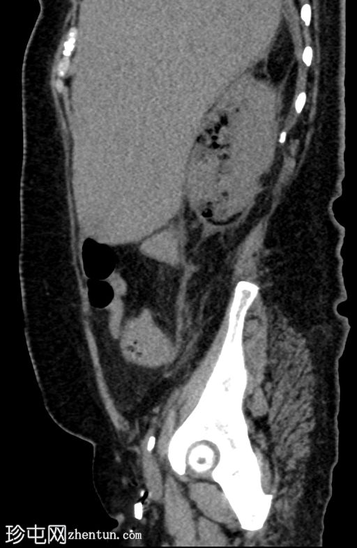
矢状位

平扫
3.jpg
肾实质内可见多个气体囊,主要累及右肾中部和下极。

肾周脂肪组织中度炎症性改变,并可见条索状肾周积液。

气体未延伸至肾盂或输尿管。

无肾积水。

少量微小的非梗阻性肾结石(砂砾)。

病例讨论

气肿性肾盂肾炎是由产气菌引起的肾实质坏死性感染,危及生命,常见于糖尿病或尿路梗阻患者,若不及时诊断和治疗,死亡率极高。

CT 是首选的影像学检查方法,因为它对检测肾实质内、集合系统或肾周积气具有高度敏感性,能够准确界定病变范围并指导治疗。典型的 CT 表现包括肾实质内不规则的气体腔、坏死导致的异质性或增强减弱,以及不同程度的肾周脂肪条索状改变或积液,伴或不伴肾外扩散。

目前应用最广泛的系统是基于 CT 的 Huang 和 Tseng 分类法,该分类法根据气体分布和扩散范围对疾病进行分层:

1 级:气体局限于集合系统;

2级:肾实质内积气,无肾外扩散

3A级:积气或脓肿扩散至肾周间隙

3B级:扩散至肾旁间隙

4级:双侧受累或孤立性功能肾受累

治疗以影像学检查为指导,在特定病例中采用积极的药物治疗联合经皮穿刺引流,而肾切除术则保留用于病情广泛或保守治疗无效的患者。

我们的病例属于2级,采用经皮穿刺引流治疗后,病情显著改善。
您需要登录后才可以回帖 登录 | 注册
Copyright © 2011-2026 东莞市珍屯医疗科技有限公司Powered by zhentun.com
返回顶部