找回密码
 注册

膀胱血肿

作者:大江 | 时间:昨天 16:59 | 阅读:4| 显示全部楼层
临床表现

患者主诉血尿,既往无抗凝药物使用史。

患者资料

年龄:65岁

性别:女

膀胱造影(静脉注射造影剂)

CT
轴位

平扫
1.jpg
静脉注射造影剂轴位

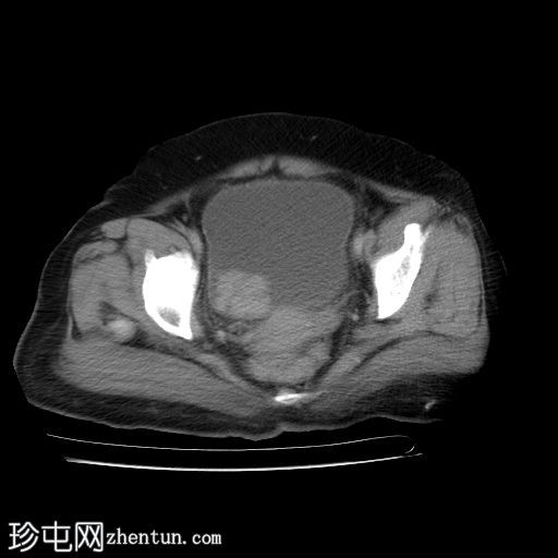
增强扫描
2.jpg
轴位增强扫描

延迟期
3.jpg
俯卧位轴位扫描

延迟期
4.jpg
冠状位增强扫描

延迟期
5.jpg
膀胱内可见一边界清晰、不规则、可移动的软组织病变(CT值65 HU),直径约40 mm。病变无钙化,增强扫描后无强化。首要鉴别诊断为血肿。

采用俯卧位CT扫描显示病变活动度。

膀胱镜检查证实存在血肿,并进行了血块清除术。

4 个病例问题

病例讨论

血尿是指血液进入泌尿系统并随后排出体外的一种临床表现。其病因多种多样,从良性、短暂性病变到具有严重临床意义的疾病均有涉及。

膀胱血肿常被误诊肿瘤性肿块。俯卧位是区分可移动血块和固定于膀胱壁的肿瘤的关键操作。这种简便的技术,结合无对比剂增强,可提供强有力的非侵入性证据,排除肿瘤性病变。
您需要登录后才可以回帖 登录 | 注册
Copyright © 2011-2026 东莞市珍屯医疗科技有限公司Powered by zhentun.com
返回顶部