找回密码
 注册

睾丸肾上腺残余肿瘤(TART)

作者:大江 | 时间:昨天 16:40 | 阅读:4| 显示全部楼层
临床表现

双侧睾丸肿胀。

患者资料
年龄:25岁

性别:男

MRI
冠状位

T2加权像
1.jpg
冠状位

T1加权像
2.jpg
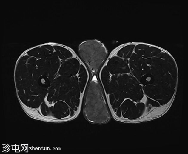
轴位

T2加权像
3.jpg
轴位

T1加权像
4.jpg
矢状位

T2加权像
5.jpg
轴位

STIR序列
6.jpg
轴位

DWI序列
7.jpg
轴位

ADC值
8.jpg
阴囊内睾丸增大,T1加权像上可见分叶状软组织病变,呈中高信号,T2加权像上呈低信号。

轻度双侧鞘膜积液。

PET-CT
9.png
医学
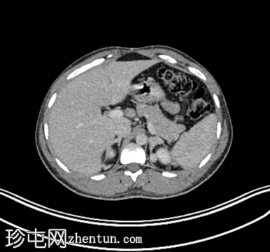
轴位增强CT
10.png
轴位

PET
11.jpg
轴位融合

PET-CT

睾丸:FDG摄取增高,提示双侧睾丸实质内可见强化的分叶状病变。

肾上腺:双侧肾上腺结节性增厚,FDG摄取增高。

肝脏:大小正常,未见FDG摄取增高的局灶性病变。

骨髓:未见FDG摄取增高的溶骨性或硬化性病变。

病例讨论

本病例表现为双侧睾丸肿胀,影像学特征符合睾丸肾上腺残余肿瘤的典型表现,即T1加权像上呈双侧中高信号,T2加权像上呈低信号。

为排除肿瘤病因或恶性淋巴结肿大,建议行PET检查。PET显像显示双侧肾上腺结节性增大,符合肾上腺增生,未见转移性病变。

双侧睾丸肿胀的鉴别诊断相对有限,包括:

淋巴母细胞白血病(急性或慢性):由于缺乏相关的骨髓异常,且PET显像未见FDG高摄取淋巴结或髓外病变,因此可能性不大。

淋巴瘤:原发性睾丸淋巴瘤罕见;由于缺乏相关的淋巴结肿大,因此该诊断可能性不大。

转移瘤:根据PET显像结果排除。

建议进行实验室检查以确诊,因为肾上腺增生通常伴有ACTH水平升高。遗憾的是,后续检查未能完成,因此无法获得实验室结果。

重要的是避免将这些睾丸病变误诊为恶性肿瘤,因为这可能导致不必要的睾丸切除术。
您需要登录后才可以回帖 登录 | 注册
Copyright © 2011-2026 东莞市珍屯医疗科技有限公司Powered by zhentun.com
返回顶部