找回密码
 注册

成熟囊性卵巢畸胎瘤

作者:大江 | 时间:4 小时前 | 阅读:7| 显示全部楼层
临床表现

左下腹疼痛

患者资料

年龄:40岁

性别:女

CT
1.jpeg
轴位

平扫
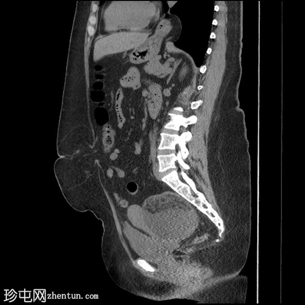
2.jpeg
矢状位

平扫

可见一主要为囊性肿块,大小为10.1 x 7.3 x 8厘米,囊内含有脂肪球。囊壁可见钙化,并对直肠乙状结肠造成压迫。

MRI
矢状位

T1加权像
3.png
矢状位

T2加权像
4.png
盆腔可见部分囊性肿块,内含脂肪球。

2个病例相关问题

病例讨论

成熟囊性畸胎瘤(MCT)是青少年和成人卵巢最常见的良性肿瘤,占育龄期卵巢良性肿瘤的70%,占绝经后女性的20%。它们是生殖细胞肿瘤,至少包含两层分化良好的生殖细胞层。它们也可能包含皮肤、毛发、牙齿、脂肪和肌肉。大多数情况下,外胚层成分占主导地位;这类肥大细胞瘤也称为卵巢皮样囊肿。

该患者主诉左下腹疼痛。影像学检查发现盆腔内有一囊性肿块,可见多个脂肪球。影像学检查未发现扭转或破裂的迹象。建议进行盆腔MRI随访检查。

肥大细胞瘤的诊断可能性较大,可通过影像学检查与其他鉴别诊断相鉴别。CT扫描上的脂肪密度球排除了单纯性子宫内膜异位囊肿,且CT扫描未显示出血迹象。未成熟畸胎瘤往往含有较多实性成分,而该肿块主要为囊性,并含有脂肪球。
您需要登录后才可以回帖 登录 | 注册
Copyright © 2011-2026 东莞市珍屯医疗科技有限公司Powered by zhentun.com
返回顶部