找回密码
 注册

异位妊娠

作者:大江 | 时间:4 小时前 | 阅读:6| 显示全部楼层
病例介绍

经产妇,β-HCG阳性,有7天阴道点滴出血史。

患者资料

年龄:40岁

性别:女

超声检查
1.png
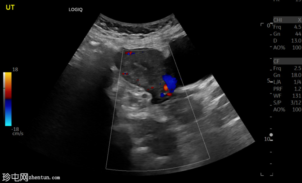
横切面
2.png
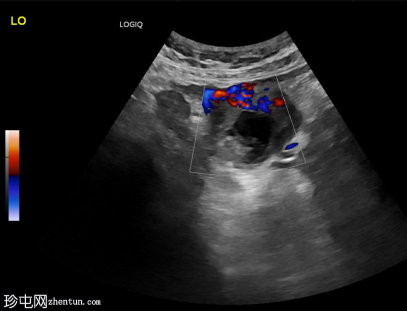
斜切面
3.png
横切面
4.png
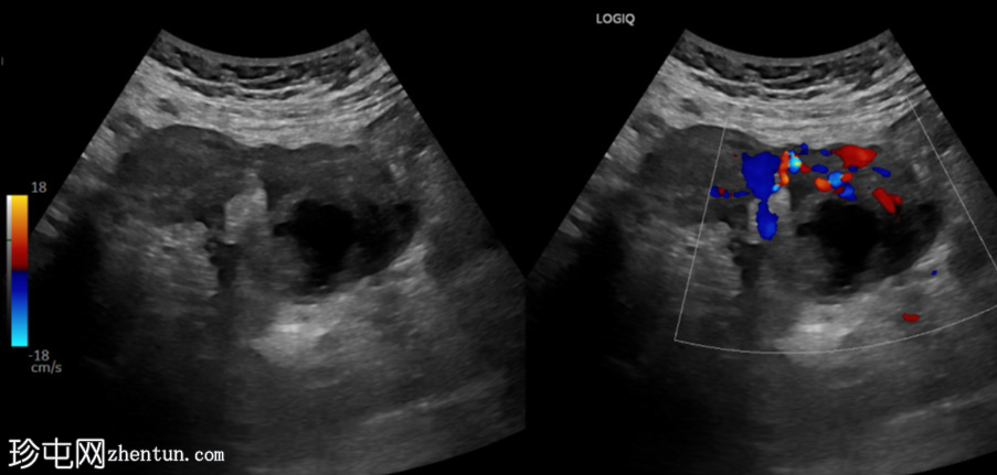
纵切面
5.png
纵切面
6.png
斜切面
7.png
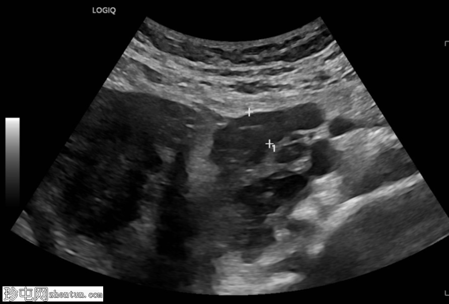
横切面

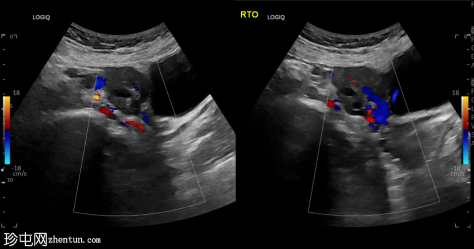
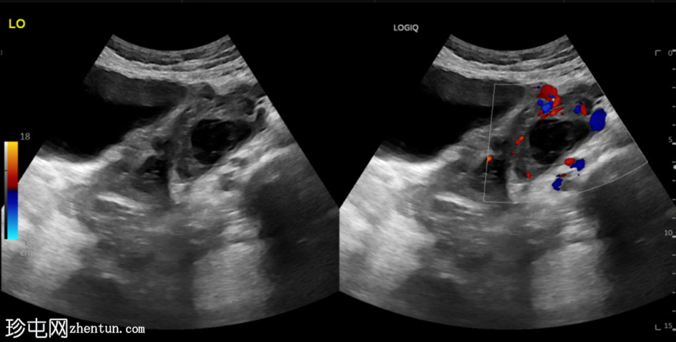
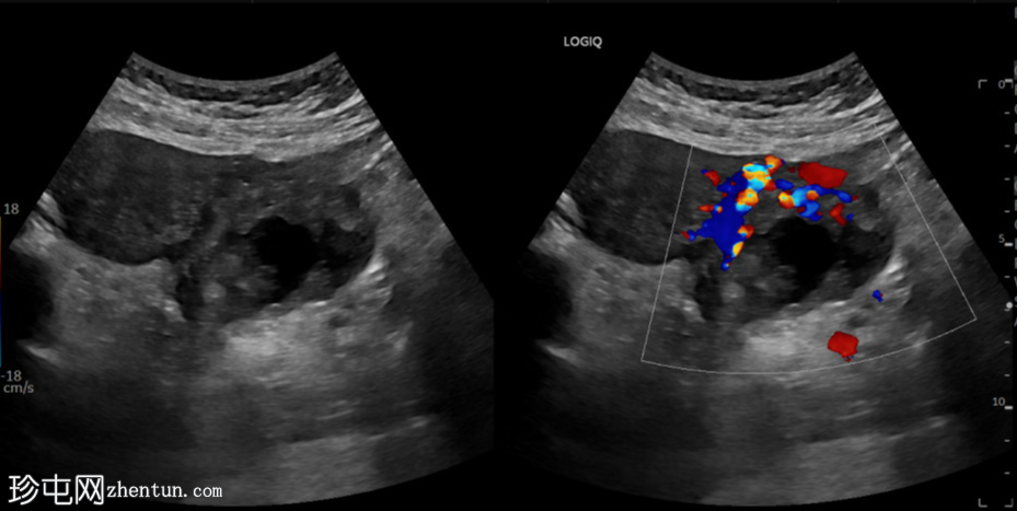
左侧卵巢明显增大,可见一囊肿,大小约3.2 x 2.3 cm,呈火环征,可能为黄体囊肿。左侧卵巢与子宫之间可见一管状结构,直径约1.3 cm,内含浑浊液体,未见血管,最可能为输卵管积血。以上特征提示可能为左侧异位妊娠。

未见宫内妊娠囊。

病理报告

照片
8.png
病理证实为异位妊娠。

病例讨论

95%的异位妊娠着床于输卵管,尤其是壶腹部。异位妊娠最有用的体征是卵巢以外的附件区出现不均匀病变,并伴有妊娠试验阳性。大多数异位妊娠发生较早,在卵黄囊或胚胎发育之前。腹腔内游离液体是破裂的征象。

子宫腔通常为空,但也可能包含“假性妊娠囊”或罕见的异位妊娠。
您需要登录后才可以回帖 登录 | 注册
Copyright © 2011-2026 东莞市珍屯医疗科技有限公司Powered by zhentun.com
返回顶部