找回密码
 注册

左侧卵巢扭转伴严重卵巢水肿

作者:大江 | 时间:8 小时前 | 阅读:7| 显示全部楼层
病例介绍

曾接受乳腺癌治疗,现因左侧髂窝疼痛复发就诊。超声检查发现左侧卵巢增大,疑似克鲁肯伯格瘤。

患者资料

年龄:45岁

性别:女

MRI
矢状位

T2加权像
1.jpg
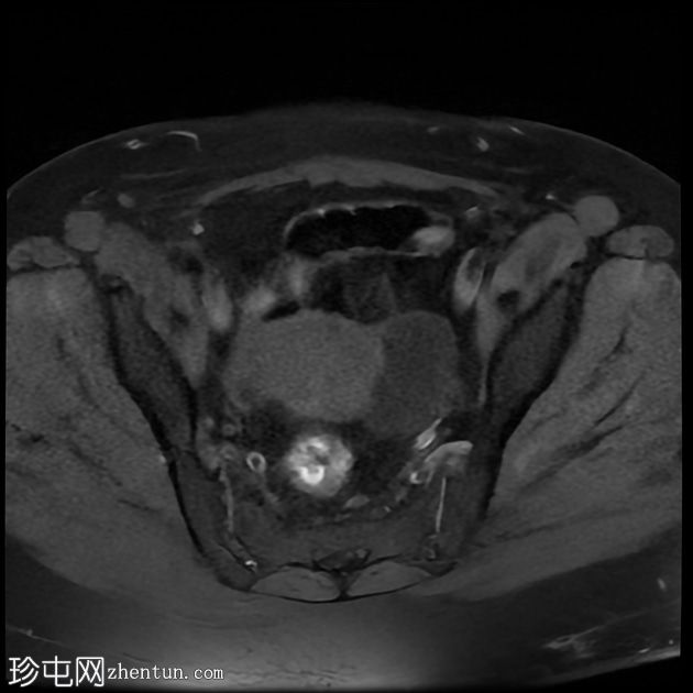
轴位

T2加权像
2.jpg
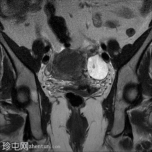
冠状位

T2加权像
3.jpg
轴位
DWI
4.jpg
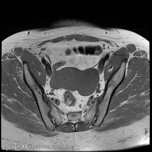
轴位

T1加权像
5.jpg
轴位T1加权像

脂肪抑制像
6.jpg
轴位T1加权像

增强脂肪抑制像
7.jpg
矢状位T1加权像
增强脂肪抑制像
8.jpg
轴位
ADC
9.jpg
左侧卵巢增大,呈弥漫性低T1信号和高T2信号,可见周边卵泡,部分卵泡除周边卵泡周围有环状强化外,无明显实质强化。左侧附件蒂呈漩涡状,提示卵巢扭转。

病例讨论

巨大卵巢水肿是一种罕见疾病,几乎总是单侧发生,且多见于右侧。复发性卵巢部分扭转是其发病机制的主要怀疑因素,可导致静脉和淋巴回流受阻,进而引起卵巢间质肿胀和水肿。

本病例展示了这种罕见疾病在左侧发生的罕见表现。
您需要登录后才可以回帖 登录 | 注册
Copyright © 2011-2026 东莞市珍屯医疗科技有限公司Powered by zhentun.com
返回顶部