找回密码
 注册

食管裂孔疝

作者:大江 | 时间:2025-12-23 15:33:03 | 阅读:119| 显示全部楼层
病例介绍

足月新生儿无法耐受任何喂养,经胃管/口服喂养后出现大量呕吐。评估是否存在肠旋转不良和胃排空障碍。

患者资料

年龄:3天

性别:男

X线片
1.png
正位
2.png
正位
3.png
正位
4.png
侧位(右侧卧位)
5.png
侧位(左侧卧位)
6.png
正位
7.png
正位
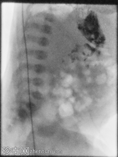
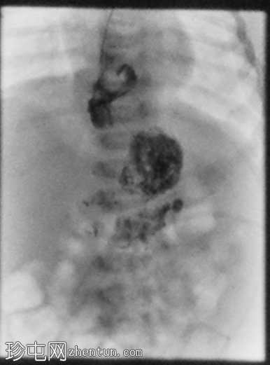
胃部初始显影,并立即反流至食管裂孔疝。在其近端可见管径正常的远端食管。十二指肠降部和横部显影较弱,左上腹可见数段管径较小/部分减压的近端小肠显影。

延迟1小时拍摄的X线片显示食管裂孔疝和胃部仍有造影剂残留,造影剂远端扩散受限,很可能是由于造影剂用量较少所致。充满气体的肠袢外观正常,乙状结肠内可见气体,直肠内未见气体。

病例讨论

这是一例儿童患者在透视下发现的食管裂孔疝病例。

最初的临床考虑是肠旋转不良,因为患者频繁且呕吐量大,但后来怀疑这是由中等大小的食管裂孔疝引起的。

在评估肠旋转不良时,重要的是要记住十二指肠的正常走行。正常情况下,十二指肠的第一段和第二段位于腹膜后。在透视检查中,患者通常取侧位或斜位,以检查造影剂是否向后延伸至椎体,这可以确认十二指肠的腹膜后走行是否正常。十二指肠的第三段和第四段位于腹膜内,远端十二指肠向上延伸,在十二指肠空肠交界处(DJJ)与空肠汇合。正常情况下,十二指肠第一段和第二段位于腹膜后,随后在椎体左侧、大约十二指肠球部水平处可见DJJ。

肠旋转不良是指胚胎发育过程中中肠旋转和固定的先天性异常,当肠道返回腹腔后未能完成正常的270°逆时针旋转时,就会发生肠旋转不良。根据旋转程度的不同,肠系膜根部会异常缩短,容易发生中肠扭转。此外,异常的腹膜附着,即拉德带,可能从位置异常的盲肠延伸至侧腹膜或肝脏,横跨并压迫十二指肠。这可导致不同程度的十二指肠梗阻,婴儿常表现为胆汁性呕吐,而年长患者则表现为非特异性胃肠道症状。

中肠扭转是肠旋转不良最严重的并发症,其特征是小肠围绕肠系膜上动脉(SMA)扭转。在透视检查中,造影剂可能无法通过近端十二指肠,由于十二指肠围绕血管蒂螺旋状旋转,扭转点可能呈现“鸟喙状”或“螺旋状”外观。超声或CT可显示正常的SMA-SMV关系颠倒,肠系膜上静脉(SMV)异常位于SMA左侧。识别这些影像学表现至关重要,因为中肠扭转存在肠缺血风险,属于外科急症。
您需要登录后才可以回帖 登录 | 注册
Copyright © 2011-2026 东莞市珍屯医疗科技有限公司Powered by zhentun.com
返回顶部