找回密码
 注册

胃牛黄 - 长发公主综合征变异型

作者:大江 | 时间:2025-12-23 15:26:14 | 阅读:114| 显示全部楼层
临床表现

进行性腹痛、间歇性呕吐和早饱。家长反映患儿食欲不振,并出现间歇性腹胀。

患者资料

年龄:10岁

性别:女

CT
轴位增强扫描(门静脉期)
1.png
矢状位增强扫描(门静脉期)
2.jpg
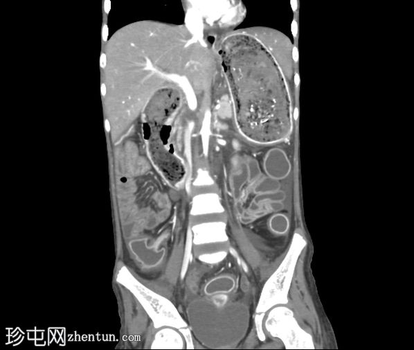
冠状位增强扫描(门静脉期)
3.jpg
体脂含量极低。

胃腔内可见巨大肿块,内含斑驳状软组织、气体和高密度灶,延伸至幽门、十二指肠和近端空肠(长发公主综合征)。十二指肠轻度扩张。

胃壁强化减弱及胃壁积气区域。

病例讨论

胃石是胃腔内无法消化的物质聚集形成的团块,最常见于胃部。胃石的类型包括毛发性胃石(毛发)、植物性胃石(植物性物质)和药物性胃石(药物)。在儿童和青少年中,毛发性胃石最为常见,通常与食毛癖有关。

当胃石穿过幽门延伸至十二指肠和空肠时,这种情况被称为长发公主综合征。患者会出现腹痛、呕吐、早饱,有时还会出现体重减轻。CT 扫描具有很高的敏感性,可以显示管腔内肿块,其内部呈斑驳状气体分布,且在管腔造影剂的照射下边界清晰。

并发症包括胃出口梗阻、肠梗阻、穿孔和腹膜炎。治疗方法从内镜下取出小胃石到剖腹探查术(用于治疗较大的胃石或长发公主综合征型胃石)不等。

该患者出现了呼吸系统并发症,最终死亡。
您需要登录后才可以回帖 登录 | 注册
Copyright © 2011-2026 东莞市珍屯医疗科技有限公司Powered by zhentun.com
返回顶部