找回密码
 注册

跟骨骨折

作者:大江 | 时间:2026-1-27 11:00:01 | 阅读:83| 显示全部楼层
病例介绍

交通事故。多发伤患者。左踝关节周围撕裂伤。

患者资料

年龄:35岁

性别:男

X线片
1.png
正位片
2.png
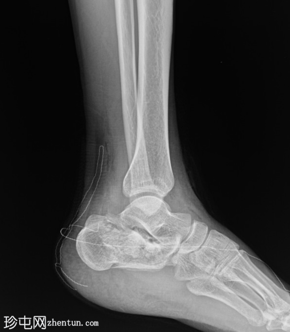
侧位片
3.png
轴位片

关节内粉碎性跟骨骨折(侧位/轴位片)。

未见其他骨折或下胫腓联合损伤。

绷带中的放射性标记物造成伪影。

病例讨论

跟骨骨折是最常见的跗骨骨折。

大多数病例是由高能量轴向负荷引起的,例如高处坠落和交通事故。

可以评估Böhler角和Gissane角,尤其是在初始影像检查中关节内骨折延伸不明显的情况下。本例中,Böhler角减小,Gissane角增大。这两个发现均证实了关节内跟骨骨折。

跟骨骨折患者常伴有其他肌肉骨骼损伤,其中最常见的包括:胸腰椎骨折、对侧跟骨骨折以及同侧下肢其他部位骨折。本例患者未发生其他严重损伤。
您需要登录后才可以回帖 登录 | 注册
Copyright © 2011-2026 东莞市珍屯医疗科技有限公司Powered by zhentun.com
返回顶部