找回密码
 注册

自发性子宫穿孔——子宫蓄脓

作者:大江 | 时间:2026-1-15 11:00:03 | 阅读:55| 显示全部楼层
临床表现

急性腹痛和发热。

患者资料

年龄:70岁

性别:女

CT
1.jpg
轴位增强扫描(门静脉期)
2.jpg
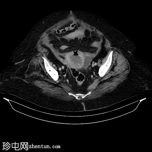
轴位
3.jpg
矢状位增强扫描(门静脉期)

宫腔内可见气液平面,符合子宫蓄脓(宫腔内有脓液)。子宫前壁裂开,多个宫外气体灶延伸至腹膜外和腹膜内间隙,提示子宫穿孔。同时可见少量盆腔腹水和少量盆腔脂肪条索状改变。

其他发现:左侧附件囊肿、胆结石、双侧少量胸腔积液。

病例讨论

患者接受了手术治疗,术中证实为子宫蓄脓,并伴有子宫裂开和穿孔,最终发展为腹膜炎。患者接受了全子宫切除术及双侧输卵管卵巢切除术。

子宫穿孔是子宫蓄脓的一种罕见但严重的并发症,子宫蓄脓是由于宫颈管阻塞导致脓液积聚在子宫腔内所致。子宫壁进行性扩张、感染和缺血性变薄——尤其是在老年或绝经后患者中——可能导致子宫自发性裂开或穿孔,最常见于子宫底。一旦发生穿孔,感染内容物溢入腹腔可迅速导致弥漫性腹膜炎,这也是该病高发病率和高死亡率的原因。因此,早期影像学识别对于及时进行手术治疗至关重要。
您需要登录后才可以回帖 登录 | 注册
Copyright © 2011-2026 东莞市珍屯医疗科技有限公司Powered by zhentun.com
返回顶部