找回密码
 注册

拇外翻

作者:大江 | 时间:2026-1-14 16:00:00 | 阅读:68| 显示全部楼层
临床表现

左侧第一跖趾关节(MTPJ)疼痛和畸形。体格检查发现关节僵硬。

患者资料

年龄:65岁

性别:女

X线片
1.jpg
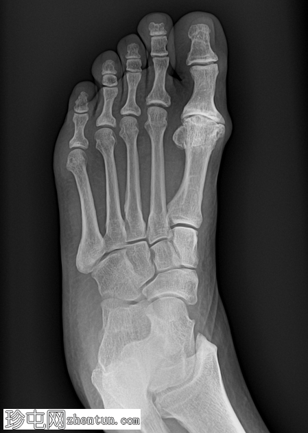
正位
2.png
斜位
3.png
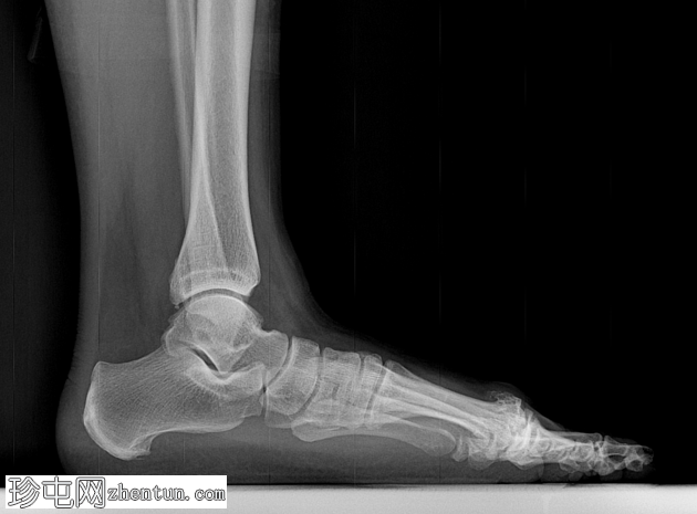
侧位

第一跖趾关节可见巨大骨赘,关节间隙变窄。

斜位片能更清晰地显示关节间隙变窄。

第一跖骨头背侧可见巨大骨赘。

病例讨论

拇外翻是足部最常见的骨关节炎类型。

拇外翻的特征是骨赘形成和关节僵硬,并伴有第一跖趾关节背屈进行性受限。

拇外翻可采用 Coughlin 和 Shurnas 分级法进行分级:

1 级:轻度关节间隙狭窄

2 级:中度关节间隙狭窄伴骨赘形成

3 级:重度关节间隙狭窄伴广泛骨赘形成

4 级:与 3 级相同,但在被动背屈中段出现疼痛

本病例被归类为 Shurnas 4 级。
您需要登录后才可以回帖 登录 | 注册
Copyright © 2011-2026 东莞市珍屯医疗科技有限公司Powered by zhentun.com
返回顶部