找回密码
 注册

肾细胞癌胆囊转移

作者:大江 | 时间:2026-1-15 21:00:03 | 阅读:70| 显示全部楼层
病例介绍

高危肾细胞癌分期CT检查。

患者资料

年龄:75岁

性别:男

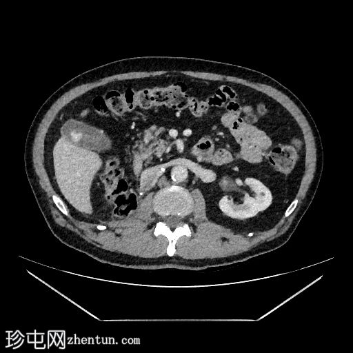
CT
轴位增强扫描(C+)门静脉期
1.jpg
冠状位
2.jpg
骨窗

行CT检查以进行分期。已知肾细胞癌。已行右侧根治性肾切除术和左侧肾上腺切除术。胆囊内可见强化物质,提示胆囊底部血管受累。骨窗下胆囊内未见钙化灶。影像表现提示胆囊转移。

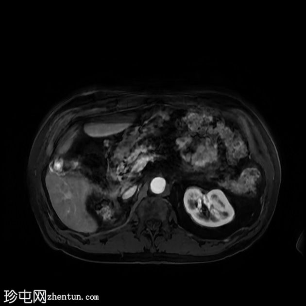
MRI
轴位
T2加权像
3.jpg
轴位T1加权像
4.jpg
同相位
轴位T1加权像
5.jpg
反相位
轴位T1加权像
增强扫描(C+)脂肪抑制
6.jpg
行MRI检查以明确病因。 MRI显示胆囊底部有一孤立性息肉样病变,突入胆囊内,大小约为21 mm x 17 mm。病变表面可见高T1信号,可能代表血液成分。病变早期增强扫描后强化程度较正常胆囊壁更为明显。

病例讨论

患者接受了胆囊切除术,组织病理学检查显示胆囊内无结石。胆囊内可见一息肉,大小为23 mm x 16 mm x 15 mm。

病理报告:

息肉检查显示为巢状肿瘤,由胞质透明、边界清晰、细胞核多形性的细胞组成。肿瘤细胞CAIX、PAX8和CD10染色阳性,符合转移性透明细胞型肾腺癌的特征。

诊断:转移性肾细胞癌。
您需要登录后才可以回帖 登录 | 注册
Copyright © 2011-2026 东莞市珍屯医疗科技有限公司Powered by zhentun.com
返回顶部