找回密码
 注册

泌尿生殖系统横纹肌肉瘤

作者:大江 | 时间:2025-12-15 11:00:00 | 阅读:117| 显示全部楼层
临床表现

腹痛病史一个月

患者资料

年龄:1岁

性别:男

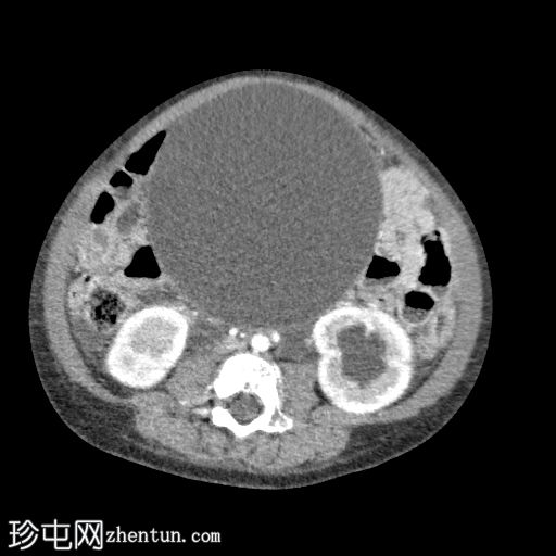
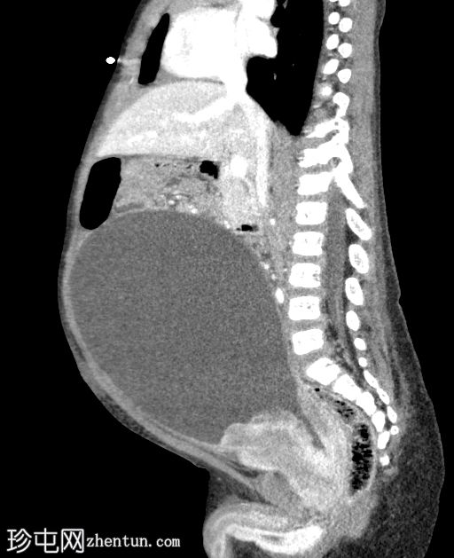
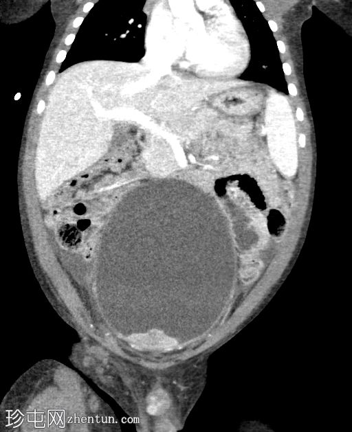
CT
矢状位增强扫描(门静脉期)
1.jpg
冠状位增强扫描(门静脉期)
2.jpg
轴位增强扫描(门静脉期)
3.jpg
膀胱颈下部可见一异质性强化软组织肿块,导致膀胱出口梗阻和膀胱明显囊性扩张(头尾长:19厘米)。

肿块前方与耻骨联合相邻,位于Retzius间隙内;后方与直肠和乙状结肠相邻;虽然脂肪间隙模糊,但未见明确的侵犯。

双侧输尿管肾积水,继发于膀胱出口梗阻。

CT未见明显淋巴结肿大。

肝脏、脾脏、胆囊、肾上腺和肠袢外观正常。

病例讨论

横纹肌肉瘤是儿童最常见的软组织肉瘤,泌尿生殖系统是常见的原发部位。膀胱颈和前列腺是男婴的典型发病部位。

CT 和 MRI 通常显示盆腔软组织肿块呈分叶状,呈不均匀强化,并可见膀胱出口梗阻。肾积水和输尿管积水是常见的继发性表现。

组织病理学检查对于诊断和亚型鉴定至关重要,胚胎型是该年龄组中最常见的类型。
您需要登录后才可以回帖 登录 | 注册
Copyright © 2011-2026 东莞市珍屯医疗科技有限公司Powered by zhentun.com
返回顶部