首页
Portal
订阅
产品资料
医疗器械
外科训练
医学论坛
BBS
关于我们
联系我们
登录
立即登录
立即注册
其他登录
QQ
微信
搜索
搜索
本版
文章
帖子
用户
本版
文章
帖子
用户
首页
Portal
订阅
产品资料
医疗器械
外科训练
医学论坛
BBS
关于我们
联系我们
账号
自动登录
找回密码
密码
登录
注册
外科
内科
第三
第四
中医
辅助
执业
教育
专区
好友
帖子
收藏
淘帖
分享
记录
留言板
门户
导读
排行榜
设置
我的收藏
退出
珍屯医学
»
医学论坛
›
第三
›
妇科产科
›
伴有腔内和非腔内子宫芽的 Mayer-Rokitansky-Küster-Ha ...
返回列表
伴有腔内和非腔内子宫芽的 Mayer-Rokitansky-Küster-Hauser 综合征
[复制链接]
作者:
大江
|
时间:
2025-12-30 16:00:04
|
阅读:132
|
显示全部楼层
临床表现
原发性闭经
患者资料
年龄:30岁
性别:女
MRI
矢状位
T2加权像
轴位
T1加权像
轴位
T2加权像
冠状位
T2加权像
轴位
STIR序列
冠状位
T2加权像
轴位T2加权像
薄层扫描
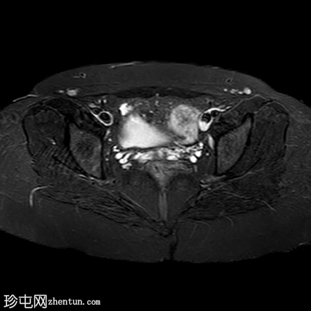
盆腔两侧可见两个残角,位于双侧卵巢尾侧。可见一条水平带连接两个残角。左侧残角呈腔状,右侧残角呈非腔状。
可见宫颈阴道发育不全,从两个残角延伸出少量发育不良的宫颈组织带。
双侧卵巢功能正常,可见卵泡。
病例讨论
本病例展示了一种 Mayer-Rokitansky-Küster-Hauser 综合征 (MRKH),其特征为子宫缺失和双侧残角;左侧子宫角呈腔状,右侧子宫角呈非腔状。子宫角位于盆腔两侧,双侧卵巢尾侧,并由一条水平带连接。该病伴有宫颈阴道发育不全。
MRKH 患者常常被误认为完全没有子宫。有时,患者存在残角,残角内可见管腔内积血或子宫腺肌症,提示子宫内膜功能尚存。
回复
举报
返回列表
发表新帖
高级模式
B
Color
Image
Link
Quote
Code
Smilies
您需要登录后才可以回帖
登录
|
注册
大江
关注Ta
主题 17701
帖子 16787
积分 42399
此人很懒,什么也没留下。
•
轻松订阅最新动态(简易法)
•
珍屯网“股份”积分策略
•
会员注册规则说明——试行
•
您看好“外资独资办医”吗?欢迎大家投票和讨论
•
无排卵
•
为各位医友推荐些好书!可代购
•
《简明体格检查图解》┊陈清兰,郑智远编著.PDF
•
全国实践技能考试准考证打印一览表
阅读作者更多精彩帖子
热门问答
更多>
0
改良Kessler缝合法
78人围观, 发布于2026-03-20
0
甲状腺手术训练进阶指南
82人围观, 发布于2026-03-20
0
泌尿外科模拟训练介绍
66人围观, 发布于2026-03-21
0
妇科腹腔镜训练路径
61人围观, 发布于2026-03-22