找回密码
 注册

膀胱阴道和直肠阴道瘘

作者:大江 | 时间:2025-12-28 16:00:00 | 阅读:120| 显示全部楼层
临床表现

患者主诉尿失禁和阴道分泌物增多,既往有手术史和结肠造口术史。

患者资料

年龄:35岁

性别:女

膀胱充盈前

MRI
1.jpg
膀胱后壁与阴道前壁之间存在宽阔的瘘管。膀胱内可见气液平面。

膀胱充盈前,该影像无法显示阴道后穹窿上缘与直肠中段前壁之间较小的瘘管。

膀胱充盈后

MRI
矢状位
T2加权像
2.jpg
矢状位
STIR序列
3.jpg
矢状位T2加权像
薄层扫描
4.jpg
轴位
T2加权像
5.jpg
轴位
STIR序列
6.jpg
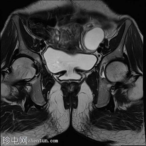
冠状位
T2加权像
7.jpg
冠状位重扫描
T2加权像薄层扫描
8.jpeg
膀胱后壁与阴道前壁之间存在宽阔的瘘管。膀胱内可见气液平面。

阴道后穹窿上部与直肠中段前壁之间可见另一条较小的瘘管。在重扫描T2加权像上也可见。

子宫未见局灶性病变。

左侧卵巢可见液性囊肿。

盆腔少量游离液体。

图示
9.png
这张三维重T2加权重建图像在同一张图像中同时显示了膀胱阴道瘘和直肠阴道瘘,从而可以同时观察到两条独立的瘘管。

病例讨论

本病例显示了一个医源性膀胱阴道瘘。

此外,还有一个较小的直肠阴道瘘,容易被忽略,但直肠扩张并伴有液体信号强度(未注射凝胶)提示存在直肠阴道瘘。给予患者饮水以充盈膀胱,薄层扫描清晰地显示了狭窄的瘘管。

当膀胱未完全充盈时,直肠阴道瘘不明显,直肠内液体量也很少。然而,膀胱充分充盈后,直肠扩张,瘘管清晰可见。这凸显了在怀疑存在短瘘时,通过注入外源性液体或增加口服液体摄入量等方法确保操作技术正确的重要性,正如本病例所示。

已知该患者同时存在两种类型的瘘管。

既往介入治疗的具体情况不详。
您需要登录后才可以回帖 登录 | 注册
Copyright © 2011-2026 东莞市珍屯医疗科技有限公司Powered by zhentun.com
返回顶部