找回密码
 注册

宫颈癌 - IIIC1期

作者:大江 | 时间:2025-12-19 15:00:01 | 阅读:137| 显示全部楼层
临床表现

经阴道超声检查发现宫颈肿块。

患者资料

年龄:45岁

性别:女

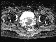
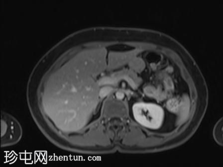
MRI
矢状位

T2加权像
1.jpg
轴位

T2加权像
2.jpg
轴位

T2加权像
3.jpg
轴位

DWI
4.jpg
轴位

T1加权像
5.jpg
轴位T1加权像

脂肪抑制像
6.jpg
冠状位

T2加权像
7.jpg
轴位
ADC值
8.jpg
矢状位T1加权像

增强脂肪抑制像
9.jpg
轴位T1加权像

增强脂肪抑制像
10.jpg
轴位T1加权像

增强脂肪抑制像
11.jpg
可见局部晚期浸润性内生型宫颈癌,肿瘤大小为30 x 32 x 48 mm。该肿瘤已侵犯宫颈前唇和后唇的深层间质,以及子宫肌层的下段。

此外,肿瘤还累及宫旁组织。影像学检查发现异常淋巴结肿大,最大短轴直径(SAD)为10 mm,位于髂总血管分叉处和髂内动脉链下方。该淋巴结肿大在弥散加权成像(DWI)上显示水限制,且增强扫描后可见强化。

宫内节育器(IUD)位于子宫内正常位置。左侧子宫底壁内肌瘤大小为15 x 16 mm(FIGO 4期)。子宫内膜厚度约为3 mm,未见宫腔内病变。双侧卵巢外观正常,未见实性或囊性病变。

病例讨论

影像学检查结果提示根据FIGO分期系统,患者为宫颈癌IIIC1期。

宫颈肿块活检的组织病理学报告显示为宫颈鳞状细胞癌。
您需要登录后才可以回帖 登录 | 注册
Copyright © 2011-2026 东莞市珍屯医疗科技有限公司Powered by zhentun.com
返回顶部