找回密码
 注册

腹膜假性黏液瘤

作者:大江 | 时间:2025-12-28 15:00:00 | 阅读:117| 显示全部楼层
病例介绍

该患者既往有结肠癌根治性切除史,此次因上腹痛和进行性腹胀就诊。超声检查显示左肝叶肿块和右肋下区肠道相关肿块。

患者资料

年龄:60岁

性别:男

CT
轴位增强扫描(门静脉期)

轴位口服增强扫描
1.jpg
轴位增强扫描(动脉期)
2.jpg
冠状位增强扫描(动脉期)
3.jpg
矢状位增强扫描(动脉期)
4.jpg
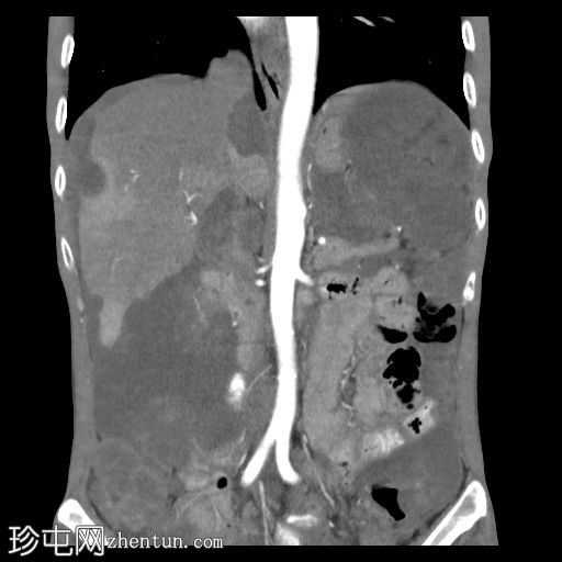
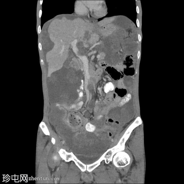
冠状位增强扫描(门静脉期)
5.jpg
矢状位增强扫描(门静脉期)
6.jpg
7.jpg
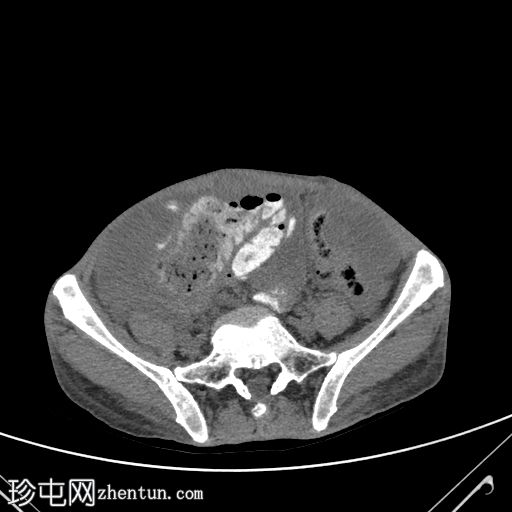
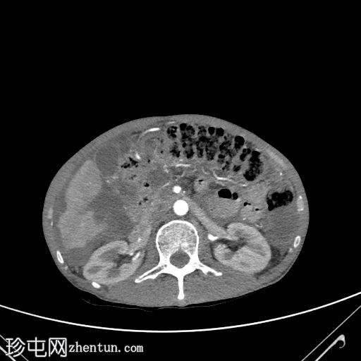
大网膜和肠系膜内可见低密度、不均匀的腹膜积液,脏器表面呈扇形凹陷,尤其以肝脏和脾脏最为明显。

阑尾肿大,长 5.0 cm,直径 1.2 cm,大小符合,可能提示阑尾黏液性肿瘤

直肠穹窿可见一处厚度 1.2 cm、长 4.0 cm 的增强壁增厚。可见病灶周围及骶前淋巴结肿大,最大者直径 1.6 cm。

左下腹可见末端结肠造口。

可见双侧少量胸腔积液(右侧:1.0 cm;左侧:0.2 cm),右下后基底段被动性塌陷。

病例讨论

腹膜假性黏液瘤(PMP)是一种罕见的临床疾病,其特征是黏液性腹水和胶状腹膜沉积物的积聚,最常见于阑尾或结直肠肿瘤。由于其病程缓慢但逐渐进展,若不及时治疗,常可导致腹胀、肠梗阻和恶病质,因此具有重要的临床意义。

该患者既往有结肠癌直肠乙状结肠切除术史,这提示我们应重点考虑其本次就诊的病因。虽然与阑尾黏液性肿瘤相比,结直肠腺癌较少引起腹膜假性黏液瘤(PMP),但结肠黏液性腺癌可播散至腹膜,尤其是在手术过程中发生肿瘤穿孔或溢出的情况下。

目前的CT影像特征符合PMP,提示黏液性物质继发性腹膜播散。

本病例强调了在出现黏液性腹水和腹膜沉积的患者中,尤其是有结直肠黏液性癌病史的患者中,应考虑PMP的可能性。认识到PMP对于准确诊断、分期和及时进行多学科诊疗至关重要。
您需要登录后才可以回帖 登录 | 注册
Copyright © 2011-2026 东莞市珍屯医疗科技有限公司Powered by zhentun.com
返回顶部