找回密码
 注册

脾脏硬化性血管瘤样结节性变

作者:大江 | 时间:2025-12-26 15:00:00 | 阅读:109| 显示全部楼层
临床表现

外伤CT检查偶然发现脾脏肿块。

患者资料

年龄:30岁

性别:男

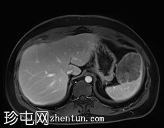
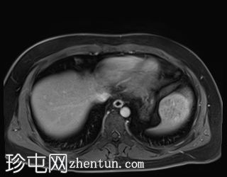
MRI
冠状位
T2加权像
1.jpg
轴位
T2加权像
2.jpeg
轴位T2加权像

脂肪抑制序列
3.jpg
轴位T1加权像

同相位序列
4.jpg
轴位T1加权像

反相位序列
5.jpg
轴位
DWI序列
6.jpg
轴位
ADC值
7.jpg
轴位T1加权像

脂肪抑制序列
8.jpg
轴位T1加权像

增强脂肪抑制序列
9.jpg
轴位T1加权像
10.jpg
增强脂肪抑制序列
11.jpg
T1低信号,T2低信号为主的脾脏肿块,内部可见T2高信号分隔,呈进行性强化。肿块中央可见星状瘢痕。

脾切除术病理最终报告:

脾脏硬化性血管瘤样结节性转化(SANT),9.8 cm肿块

背景:脾脏正常,但有充血

多发反应性淋巴结

病例讨论

顾名思义,脾脏硬化性血管瘤样结节性转化(SANT)是一种纤维性血管病变。本病例展示了SANT的一些典型影像学特征,包括边界清晰的病灶,中央可见瘢痕,以及呈放射状进行性强化。这些特征使得术前MRI诊断较为明确。尽管SANT是一种良性病变,但大多数患者仍需行脾切除术以明确病理诊断。
您需要登录后才可以回帖 登录 | 注册
Copyright © 2011-2026 东莞市珍屯医疗科技有限公司Powered by zhentun.com
返回顶部