找回密码
 注册

上消化道出血

作者:大江 | 时间:2025-12-24 15:00:00 | 阅读:97| 显示全部楼层
病例介绍

梅莱娜

患者资料

年龄:70岁

性别:男

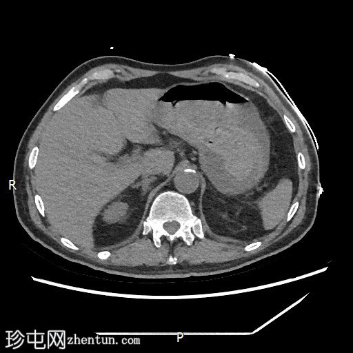
CT
轴位

平扫
1.jpg
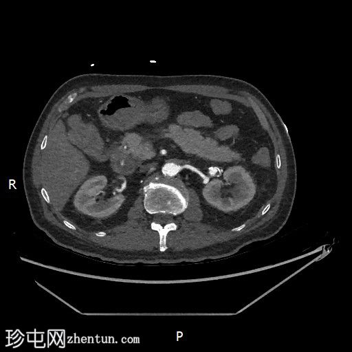
轴位增强扫描

动脉期
2.jpg
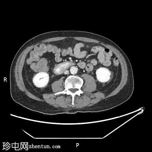
轴位增强扫描

门静脉期
3.jpg
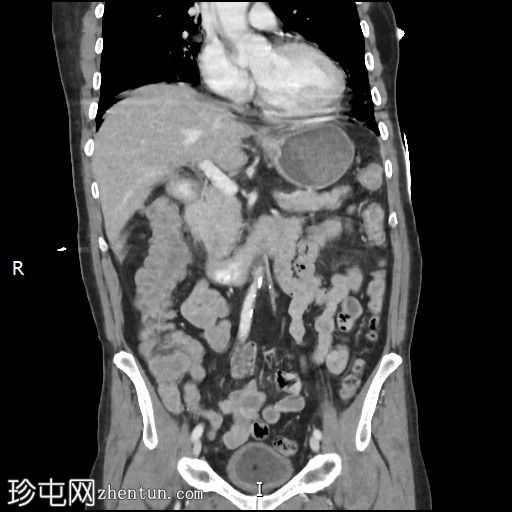
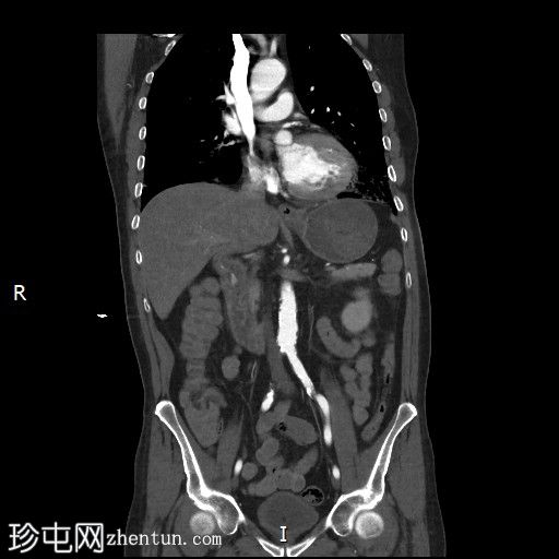
冠状位增强扫描

动脉期
4.jpg
冠状位增强扫描

门静脉期
5.jpg
胃内出血

造影剂外渗提示十二指肠第二段活动性出血
6.jpeg
十二指肠第三段造影剂积聚

活动性出血
7.jpeg
底不张

消化道内镜检查
8.jpeg
照片
十二指肠壁溃疡

十二指肠壁溃疡
9.jpeg
食管炎

止血

及止血夹

胃底可见变质血液

内镜报告:

食管:LA C级食管炎。

胃:胃底可见变质血液及大血块。吸痰、冲洗并调整患者体位以移动血块后,未在胃底或胃体部发现病变。未发现活动性出血点。

胃窦:幽门前区可见三处溃疡,每处均小于1厘米,底部均清洁。

十二指肠:

D1:D1前壁可见一处含血块的溃疡。应用两个止血夹止血,并在溃疡周围注射1:10,000肾上腺素。

D2:D2可见两处溃疡。

病例讨论

CT血管造影对检测活动性消化道出血具有较高的敏感性。

患者立即接受了上消化道内镜检查。
您需要登录后才可以回帖 登录 | 注册
Copyright © 2011-2026 东莞市珍屯医疗科技有限公司Powered by zhentun.com
返回顶部