首页
Portal
订阅
产品资料
医疗器械
外科训练
医学论坛
BBS
关于我们
联系我们
登录
立即登录
立即注册
其他登录
QQ
微信
搜索
搜索
本版
文章
帖子
用户
本版
文章
帖子
用户
首页
Portal
订阅
产品资料
医疗器械
外科训练
医学论坛
BBS
关于我们
联系我们
账号
自动登录
找回密码
密码
登录
注册
外科
内科
第三
第四
中医
辅助
执业
教育
专区
好友
帖子
收藏
淘帖
分享
记录
留言板
门户
导读
排行榜
设置
我的收藏
退出
珍屯医学
»
医学论坛
›
外科
›
肛肠外科
›
克罗恩病(磁共振小肠造影)
返回列表
克罗恩病(磁共振小肠造影)
[复制链接]
作者:
大江
|
时间:
2025-12-20 15:00:01
|
阅读:108
|
显示全部楼层
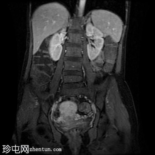
临床表现
慢性间歇性腹痛伴间歇性腹泻。
患者资料
年龄:30岁
性别:女
MRI
冠状位T2加权像
脂肪抑制
轴位
T2加权像
轴位
T2加权像
轴位T1加权像
增强脂肪抑制
冠状位T1加权像
增强脂肪抑制
冠状位T1加权像
增强脂肪抑制
冠状位T1加权像
增强脂肪抑制
冠状位T1加权像
增强脂肪抑制
回肠末端及盆腔回肠肠袢可见长段肠壁增厚及强化,肠周血管丰富,呈“梳状征”,并可见明显的纤维脂肪浸润。
未见瘘管、积液、腹水或梗阻。
病例讨论
磁共振肠道造影(MRE)结果支持克罗恩病的诊断,显示远端及末端回肠以活动
性病
变为主,并可见明显的肠周血管。
回复
举报
返回列表
发表新帖
高级模式
B
Color
Image
Link
Quote
Code
Smilies
您需要登录后才可以回帖
登录
|
注册
大江
关注Ta
主题 17689
帖子 16775
积分 42374
此人很懒,什么也没留下。
•
轻松订阅最新动态(简易法)
•
珍屯网“股份”积分策略
•
会员注册规则说明——试行
•
您看好“外资独资办医”吗?欢迎大家投票和讨论
•
为各位医友推荐些好书!可代购
•
无排卵
•
《简明体格检查图解》┊陈清兰,郑智远编著.PDF
•
全国实践技能考试准考证打印一览表
阅读作者更多精彩帖子
热门问答
更多>
0
改良Kessler缝合法
62人围观, 发布于2026-03-20
0
甲状腺手术训练进阶指南
66人围观, 发布于2026-03-20
0
泌尿外科模拟训练介绍
56人围观, 发布于2026-03-21
0
妇科腹腔镜训练路径
42人围观, 发布于2026-03-22