首页
Portal
订阅
产品资料
医疗器械
外科训练
医学论坛
BBS
关于我们
联系我们
登录
立即登录
立即注册
其他登录
QQ
微信
搜索
搜索
本版
文章
帖子
用户
本版
文章
帖子
用户
首页
Portal
订阅
产品资料
医疗器械
外科训练
医学论坛
BBS
关于我们
联系我们
账号
自动登录
找回密码
密码
登录
注册
外科
内科
第三
第四
中医
辅助
执业
教育
专区
好友
帖子
收藏
淘帖
分享
记录
留言板
门户
导读
排行榜
设置
我的收藏
退出
珍屯医学
»
医学论坛
›
外科
›
肛肠外科
›
铅管结肠——溃疡性结肠炎
返回列表
铅管结肠——溃疡性结肠炎
[复制链接]
作者:
大江
|
时间:
2025-12-19 15:00:01
|
阅读:59
|
显示全部楼层
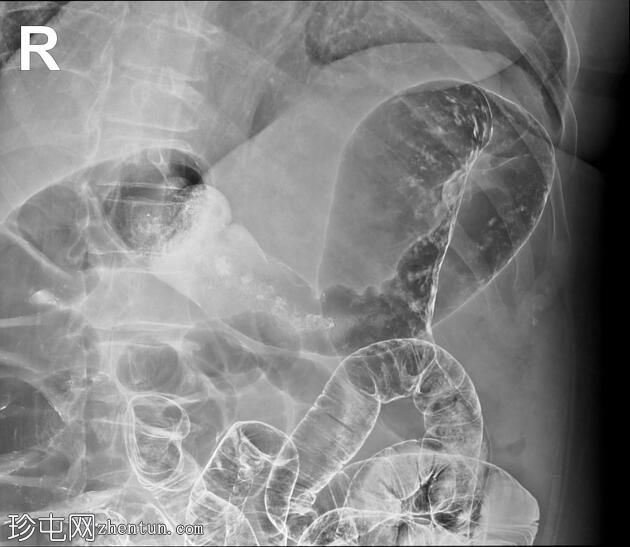
临床表现
慢性腹痛伴直肠出血。患者既往有长期炎症性肠病史。
患者资料
年龄:65岁
性别:女
透视检查
冠状位
冠状位
冠状位
冠状位
冠状位
侧位
斜位
结肠异常表现包括结肠袋皱襞消失,使其外观模糊,呈铅管样改变。
其他异常表现包括降结肠和乙状结肠肠袢狭窄,以及横结肠和降结肠多处黏膜糜烂(双对比增强图像可见)。
未见肿块或瘘管形成。
升结肠外观正常,结肠袋皱襞完整。
病例讨论
结肠镜检查和活检结果显示为溃疡性结肠炎,属于炎症性肠病。
结肠呈铅管状外观是慢性炎症性肠病(溃疡性结肠炎)的典型放射学表现。
回复
举报
返回列表
发表新帖
高级模式
B
Color
Image
Link
Quote
Code
Smilies
您需要登录后才可以回帖
登录
|
注册
大江
关注Ta
主题 17504
帖子 16590
积分 41964
此人很懒,什么也没留下。
•
轻松订阅最新动态(简易法)
•
珍屯网“股份”积分策略
•
您看好“外资独资办医”吗?欢迎大家投票和讨论
•
会员注册规则说明——试行
•
为各位医友推荐些好书!可代购
•
无排卵
•
《简明体格检查图解》┊陈清兰,郑智远编著.PDF
•
全国实践技能考试准考证打印一览表
阅读作者更多精彩帖子
热门问答
更多>
0
乳腺癌骨转移
46人围观, 发布于2026-01-17
0
急性钙化性腕关节周围炎
42人围观, 发布于2026-01-18
0
Y形管缝合技术训练指南
60人围观, 发布于2026-01-09
0
无血管性坏死 - 髋关节
44人围观, 发布于2026-01-19