首页
Portal
订阅
产品资料
医疗器械
外科训练
医学论坛
BBS
关于我们
联系我们
登录
立即登录
立即注册
其他登录
QQ
微信
搜索
搜索
本版
文章
帖子
用户
本版
文章
帖子
用户
首页
Portal
订阅
产品资料
医疗器械
外科训练
医学论坛
BBS
关于我们
联系我们
账号
自动登录
找回密码
密码
登录
注册
外科
内科
第三
第四
中医
辅助
执业
教育
专区
好友
帖子
收藏
淘帖
分享
记录
留言板
门户
导读
排行榜
设置
我的收藏
退出
珍屯医学
»
医学论坛
›
外科
›
肛肠外科
›
网膜垂体炎
返回列表
网膜垂体炎
[复制链接]
作者:
大江
|
时间:
2025-12-17 15:00:00
|
阅读:151
|
显示全部楼层
临床表现
左下腹
疼痛
。
患者资料
年龄:45岁
性别:男
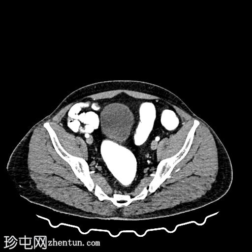
CT
轴位
平扫
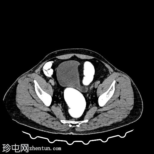
轴位增强扫描
动脉期
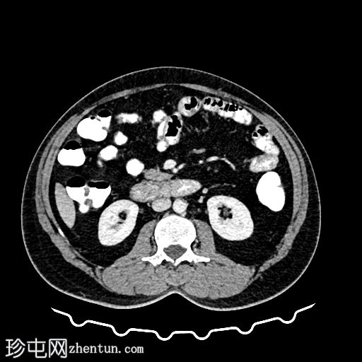
轴位增强扫描
门静脉期
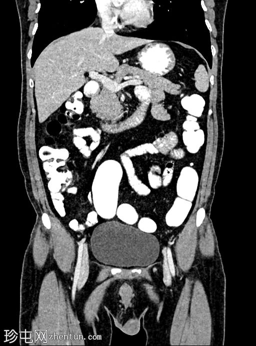
冠状位增强扫描
门静脉期
矢状位增强扫描
门静脉期
乙状结肠旁可见两处小的脂肪衰减病灶。较小的病灶呈周边环状强化,伴有轻度邻近脂肪条索状改变 → 急性大网膜垂炎。
较大的病灶呈薄环状强化,周围无炎症 → 消退期/慢
性病
变。未见肠壁增厚,未见肠腔相通,无游离液体或积液。
病例讨论
大网膜垂炎是指由于扭转或静脉血栓形成引起的大网膜垂缺血性炎症,最常见于乙状结肠旁。 CT
影像
具有特征性,有助于避免不必要的抗生素或手术。
回复
举报
返回列表
发表新帖
高级模式
B
Color
Image
Link
Quote
Code
Smilies
您需要登录后才可以回帖
登录
|
注册
大江
关注Ta
主题 17677
帖子 16763
积分 42332
此人很懒,什么也没留下。
•
轻松订阅最新动态(简易法)
•
珍屯网“股份”积分策略
•
会员注册规则说明——试行
•
您看好“外资独资办医”吗?欢迎大家投票和讨论
•
为各位医友推荐些好书!可代购
•
无排卵
•
《简明体格检查图解》┊陈清兰,郑智远编著.PDF
•
全国实践技能考试准考证打印一览表
阅读作者更多精彩帖子
热门问答
更多>
0
改良Kessler缝合法
11人围观, 发布于2026-03-20
0
甲状腺手术训练进阶指南
10人围观, 发布于2026-03-20
0
外科定点缝合训练指南
83人围观, 发布于2026-02-20
0
血管吻合训练指南
77人围观, 发布于2026-02-21