找回密码
 注册

先天性膈疝

作者:大江 | 时间:2025-12-12 16:00:01 | 阅读:141| 显示全部楼层
病例介绍

早产儿呼吸窘迫。

患者资料

年龄:1天

性别:男

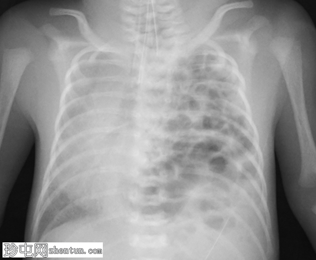
X线片
1.jpg
正位片
2.png
正位片

左侧胸腔可见囊性透亮区,膈下肠袢稀少。左未显影,可能发育不良。纵隔向右侧移位。脐静脉导管指向左侧,其尖端位于膈肌上方。

气管插管位置良好。

胃管尖端位于上纵隔的囊袋内。

右肺容积较小。

左侧先天性膈疝的特征,伴有食管闭锁和气管食管瘘。

病例讨论

产前超声检查诊断为31周早产,并伴有羊水过多。婴儿出生后即出现呼吸暂停、紫绀,且无法通过口胃管。

胸部X光检查显示左侧膈疝,这是最常见的疝类型,约占食管闭锁合并气管食管瘘病例的85%。

由于缺乏肝脏的“保护”作用,左侧膈疝可能导致小肠、大肠以及腹腔内实质性器官疝入胸腔。

右侧膈疝通常仅表现为肝脏和部分大肠疝入。双侧膈疝较为罕见,且通常因肺发育不全而导致死亡。
您需要登录后才可以回帖 登录 | 注册
Copyright © 2011-2026 东莞市珍屯医疗科技有限公司Powered by zhentun.com
返回顶部