找回密码
 注册

胆石性肠梗阻

作者:大江 | 时间:2025-12-8 16:00:05 | 阅读:157| 显示全部楼层
病例介绍

患者有反复右上腹疼痛病史,此次就诊时表现为胆汁性呕吐和腹胀。

患者资料

年龄:65岁

性别:女

CT
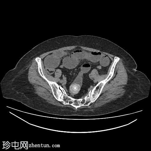
轴位
平扫
1.jpg
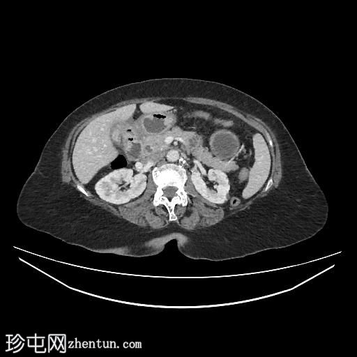
轴位增强扫描(门静脉期)
2.jpg
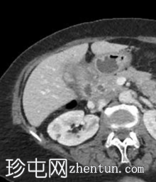
轴位增强扫描(门静脉期)
3.png
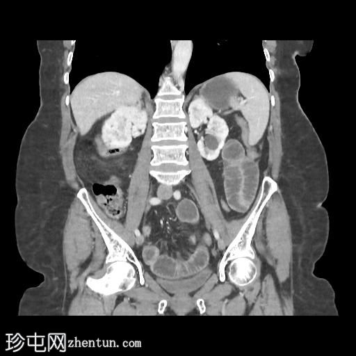
冠状位增强扫描(门静脉期)
4.jpg
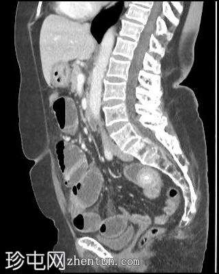
矢状位增强扫描(门静脉期)
5.png
胆囊缩小,囊壁增厚,提示慢性炎症改变。胆囊(底部)与十二指肠(球部)腔之间可见细小瘘管,胆囊内及肝内、肝外胆管内均可见气体(胆道积气)。

远端空肠内嵌顿一枚较大的胆结石(3.5 cm),近端空肠袢扩张,回肠袢、末端回肠及结肠均塌陷。

病例讨论

胆石性肠梗阻是慢性胆囊炎伴胆囊十二指肠瘘的一种罕见并发症,胆结石可进入消化道,造成机械性小肠梗阻。

本病例符合典型的里格勒三联征:

异位胆结石

小肠梗阻

胆道积气
您需要登录后才可以回帖 登录 | 注册
Copyright © 2011-2026 东莞市珍屯医疗科技有限公司Powered by zhentun.com
返回顶部