首页
Portal
订阅
产品资料
医疗器械
外科训练
医学论坛
BBS
关于我们
联系我们
登录
立即登录
立即注册
其他登录
QQ
微信
搜索
搜索
本版
文章
帖子
用户
本版
文章
帖子
用户
首页
Portal
订阅
产品资料
医疗器械
外科训练
医学论坛
BBS
关于我们
联系我们
账号
自动登录
找回密码
密码
登录
注册
外科
内科
第三
第四
中医
辅助
执业
教育
专区
好友
帖子
收藏
淘帖
分享
记录
留言板
门户
导读
排行榜
设置
我的收藏
退出
珍屯医学
»
医学论坛
›
外科
›
泌尿外科
›
输尿管中段结石
返回列表
输尿管中段结石
[复制链接]
作者:
大江
|
时间:
2025-12-7 18:00:07
|
阅读:138
|
显示全部楼层
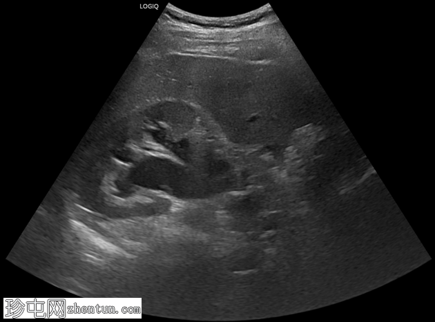
病例介绍
患者主诉急性绞痛性腰痛,放射至腹股沟。
患者资料
年龄:30岁
性别:男
超声
检查
斜位
纵位
右侧中段输尿管结石,大小约1厘米,呈高回声,伴有声影,并可见闪烁伪影,导致中度右侧肾积水。
病例讨论
闪烁伪影(TA)是一种重要的彩色多普勒现象,对
泌尿
系结石的超声诊断至关重要。它表现为在强反射性高回声结构(结石)后方产生的离散、快速且交替的红蓝信号混合。
这种伪影显著提高了超声的敏感性,尤其适用于小型、无声影的结石或被周围组织遮挡的结石。
回复
举报
返回列表
发表新帖
高级模式
B
Color
Image
Link
Quote
Code
Smilies
您需要登录后才可以回帖
登录
|
注册
大江
关注Ta
主题 17678
帖子 16764
积分 42334
此人很懒,什么也没留下。
•
轻松订阅最新动态(简易法)
•
珍屯网“股份”积分策略
•
会员注册规则说明——试行
•
您看好“外资独资办医”吗?欢迎大家投票和讨论
•
为各位医友推荐些好书!可代购
•
无排卵
•
《简明体格检查图解》┊陈清兰,郑智远编著.PDF
•
全国实践技能考试准考证打印一览表
阅读作者更多精彩帖子
热门问答
更多>
0
改良Kessler缝合法
18人围观, 发布于2026-03-20
0
甲状腺手术训练进阶指南
22人围观, 发布于2026-03-20
0
泌尿外科模拟训练介绍
10人围观, 发布于2026-03-21
0
外科定点缝合训练指南
85人围观, 发布于2026-02-20