找回密码
 注册

气肿性肾盂肾炎

作者:大江 | 时间:2025-11-30 17:00:00 | 阅读:143| 显示全部楼层
临床表现

急诊入院,格拉斯哥昏迷评分(GCS)13分,炎症指标升高。

患者资料

年龄:65岁

性别:女

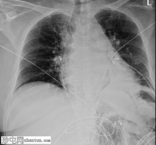
X线检查
1.png
纵隔气肿

腹膜后气肿

左肾区异常气体

底不张

1个病例问题

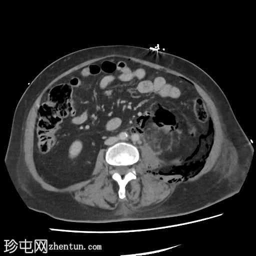
CT扫描
2.jpg
轴位
3.png
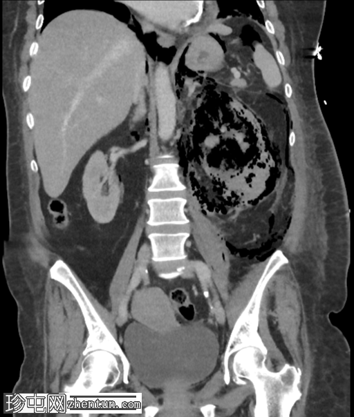
冠状位增强扫描(门静脉期)
4.png
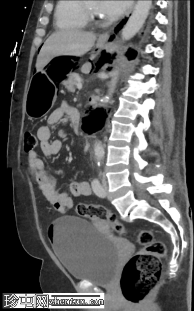
矢状位增强扫描(门静脉期)

左肾广泛破坏,伴有碎裂和气体膨胀

气体延伸至:

左侧输尿管;近端输尿管周围有气体包绕,并可见局灶性输尿管周围碎屑/积聚

进入膀胱

沿左肾静脉进入扁平的下腔静脉(脓毒性休克的特征)

沿十二指肠第二段(D2)进入肝门

进入肾周间隙,伴有坏死碎屑

经肾后间隙进入腰大肌、腹膜前脂肪和体壁

进入肠系膜后间隙、肾后间隙、侧圆锥间隙和联合筋膜间隙,直至股鞘

环绕左侧肾上腺、胃和脾脏,并位于膈下

经食管裂孔和主动脉裂孔进入纵隔

腹腔内气体

不对称性皮下炎症

呼吸伪影

病例讨论

诊断:一名患有糖尿病酮症酸中毒和感染性休克的患者,因坏死性肺炎克雷伯菌感染而导致单侧破坏性坏死性气肿性肾盂肾炎。

血清葡萄糖 45 mmol/L。

轻度中性粒细胞增多。

C反应蛋白 300 mg/L。

血培养结果为肺炎克雷伯菌。

气体勾勒出腹膜后间隙,这些间隙可作为潜在腔隙,同时也展示了免疫功能低下的老年女性如何被侵袭性感染突破组织屏障。股鞘是腹膜后间隙与下肢之间感染扩散的通道,食管裂孔和主动脉裂孔是腹膜后间隙与纵隔之间的通道。腹膜的突破使得少量气体进入腹腔,而腹横筋膜的突破则使感染扩散至后腹壁。

积极的抗生素治疗、经皮引流以及血糖控制最终使患者康复
您需要登录后才可以回帖 登录 | 注册
Copyright © 2011-2026 东莞市珍屯医疗科技有限公司Powered by zhentun.com
返回顶部