首页
Portal
订阅
产品资料
医疗器械
外科训练
医学论坛
BBS
关于我们
联系我们
登录
立即登录
立即注册
其他登录
QQ
微信
搜索
搜索
本版
文章
帖子
用户
本版
文章
帖子
用户
首页
Portal
订阅
产品资料
医疗器械
外科训练
医学论坛
BBS
关于我们
联系我们
账号
自动登录
找回密码
密码
登录
注册
外科
内科
第三
第四
中医
辅助
执业
教育
专区
好友
帖子
收藏
淘帖
分享
记录
留言板
门户
导读
排行榜
设置
我的收藏
退出
珍屯医学
»
医学论坛
›
外科
›
泌尿外科
›
腹腔镜子宫切除术后医源性膀胱损伤
返回列表
腹腔镜子宫切除术后医源性膀胱损伤
[复制链接]
作者:
大江
|
时间:
2025-11-26 16:00:02
|
阅读:148
|
显示全部楼层
临床表现
剧烈盆腔
疼痛
伴压痛。既往史:1个月前因子宫肌瘤行子宫切除术。
患者资料
年龄:50岁
性别:女
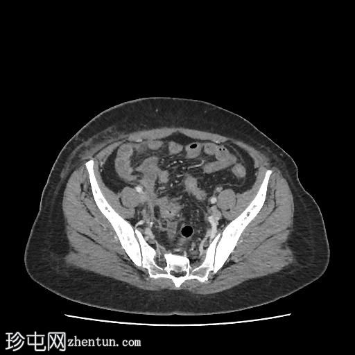
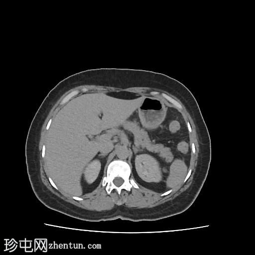
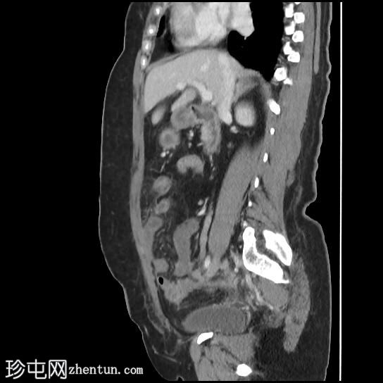
CT
轴位增强扫描(门静脉期)
轴位肾盂排泄期
矢状位增强扫描(门静脉期)
冠状位肾盂排泄期
矢状位肾盂排泄期
CT扫描显示:
左侧膀胱后外侧壁完全撕裂,造影剂外渗至盆腔
盆腔内可见少量积液
腹膜脂肪条索状改变,腹膜反折增厚强化,提示盆腔腹膜炎
病例讨论
腹腔镜
子宫切除术后医源性膀胱损伤伴盆腔腹膜炎的CT表现。
回复
举报
返回列表
发表新帖
高级模式
B
Color
Image
Link
Quote
Code
Smilies
您需要登录后才可以回帖
登录
|
注册
大江
关注Ta
主题 17678
帖子 16764
积分 42334
此人很懒,什么也没留下。
•
轻松订阅最新动态(简易法)
•
珍屯网“股份”积分策略
•
会员注册规则说明——试行
•
您看好“外资独资办医”吗?欢迎大家投票和讨论
•
为各位医友推荐些好书!可代购
•
无排卵
•
《简明体格检查图解》┊陈清兰,郑智远编著.PDF
•
全国实践技能考试准考证打印一览表
阅读作者更多精彩帖子
热门问答
更多>
0
改良Kessler缝合法
18人围观, 发布于2026-03-20
0
甲状腺手术训练进阶指南
22人围观, 发布于2026-03-20
0
泌尿外科模拟训练介绍
10人围观, 发布于2026-03-21
0
外科定点缝合训练指南
85人围观, 发布于2026-02-20