找回密码
 注册

舟骨背侧撕脱性骨折

作者:大江 | 时间:2025-11-30 17:00:00 | 阅读:111| 显示全部楼层
病例介绍

踝关节扭伤。

患者资料

年龄:20岁

性别:男

X线片
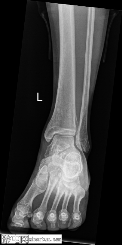
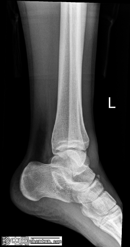
1.png
侧位片

2.png
正位片

可见舟骨旁有一块骨化的舟上骨,符合副骨的特征。

此外,舟骨背侧可见一小块不规则且骨化不良的骨碎片,提示舟骨撕脱性骨折。踝关节前侧软组织肿胀,提示可能伴有软组织损伤。

病例讨论

鉴别舟骨背侧撕脱性骨折和舟上骨(副骨)至关重要,因为这两种情况的治疗和预后意义不同。

舟骨是一种发育变异,当舟骨附近的次级骨化中心未能与主骨融合时形成。在X线片上,它通常表现为舟骨结节旁一块边界清晰、皮质光滑的圆形或椭圆形小骨,通常是偶然发现,不伴有软组织改变。

相比之下,舟骨背侧撕脱性骨折是由急性创伤引起的,通常是由于背侧关节囊或肌腱附着处过度牵拉所致。X线片上,其特征是边缘不清晰、不规则、无皮质的骨碎片,常伴有局部软组织肿胀和损伤部位的压痛。这些特征,结合近期外伤史,支持急性骨折而非先天性舟骨的诊断。

在本病例中,背侧舟骨附近存在一块不规则、骨化不良的额外骨折碎片,加之软组织肿胀以及外伤后急性疼痛史,更符合背侧撕脱性骨折的诊断。因此,患者接受了保守治疗,使用步行靴和拐杖,并根据耐受情况逐渐负重行走,同时转诊至骨折门诊进行骨科随访。该治疗方案旨在提供稳定性、缓解疼痛并监测愈合进展,最大限度地降低慢性疼痛或骨不连的风险。
您需要登录后才可以回帖 登录 | 注册
Copyright © 2011-2026 东莞市珍屯医疗科技有限公司Powered by zhentun.com
返回顶部