找回密码
 注册

肩胛骨骨折

作者:大江 | 时间:2025-10-31 15:00:00 | 阅读:140| 显示全部楼层
就诊
从梯子上坠落。

患者资料
年龄:40岁
性别:男
X光片
1.jpeg
正面

2.jpg
正面

3.jpeg
斜位
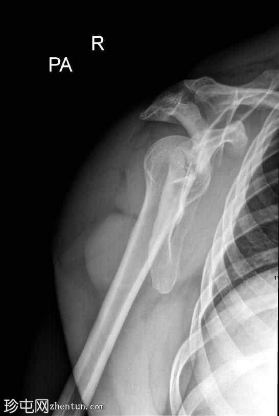
右侧肩胛骨骨折,累及肩胛盂、肩胛颈和肩胛体。肱骨头与肩胛窝对位良好,提示无肩关节脱位。

肩部和肩胛骨周围有弥漫性软组织肿胀。

病例讨论
肩胛骨骨折通常由高能量创伤引起,例如直接撞击或机动车事故。肩胛骨骨折常与其他胸椎或肩胛带损伤同时发生,因此仔细评估周围结构至关重要。

本例X光片显示骨折累及肩胛盂、肩胛颈和肩胛体,提示力量显著通过肩胛带传递。肩胛盂受累尤为重要,因为它可能损害盂肱关节的稳定性和关节的一致性。

肩关节无脱位且肱骨头排列完整是有利的发现。然而,由于解剖结构复杂且可能在关节内延伸,建议进行CT扫描以更好地明确骨折形态并指导手术计划。
您需要登录后才可以回帖 登录 | 注册
Copyright © 2011-2026 东莞市珍屯医疗科技有限公司Powered by zhentun.com
返回顶部