找回密码
 注册

Weber B 踝关节骨折 - 不稳定

作者:大江 | 时间:2025-10-21 12:00:00 | 阅读:173| 显示全部楼层
表现
踝关节损伤。

患者资料
年龄:55岁
性别:男
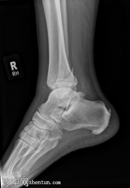
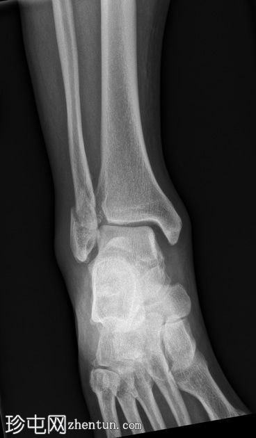
X光片
1.jpg
正面

2.jpg
侧面
腓骨下端轻度螺旋形骨折,位于下胫腓联合水平(Weber B),骨折移位,伴有轻度软组织肿胀。

踝关节内侧间隙增宽6毫米(正常值<4毫米),胫腓间隙增宽,胫腓重叠减少,这些表现提示胫腓联合损伤和踝关节不稳定。

踝关节内侧软组织阴影,提示内侧副韧带损伤。

后踝(踝骨)骨折轻微移位。

可见腓籽骨。

足底跟骨骨刺。

可见跟腱末端钙化性病灶。

病例讨论
韦伯B型骨折可分为稳定性骨折和不稳定性骨折,具体取决于是否存在远端胫腓联合损伤。此类损伤的体征包括:踝关节内侧间隙增宽(提示内侧副韧带断裂)、胫腓间隙增宽以及胫腓重叠减少(提示前胫腓联合断裂)。

本病例中的不稳定性骨折被认为是4期韦伯B型骨折,可称为“等同于外踝和后踝骨折的骨折”,其严重程度与三踝骨折相当。
您需要登录后才可以回帖 登录 | 注册
Copyright © 2011-2026 东莞市珍屯医疗科技有限公司Powered by zhentun.com
返回顶部