找回密码
 注册

跟骨骨折

作者:大江 | 时间:2025-10-19 12:00:00 | 阅读:211| 显示全部楼层
就诊
跌入沟渠。

患者资料
年龄:35岁
性别:女
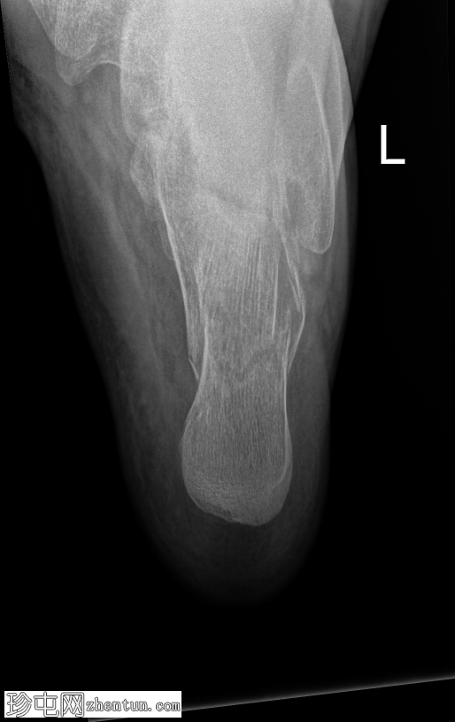
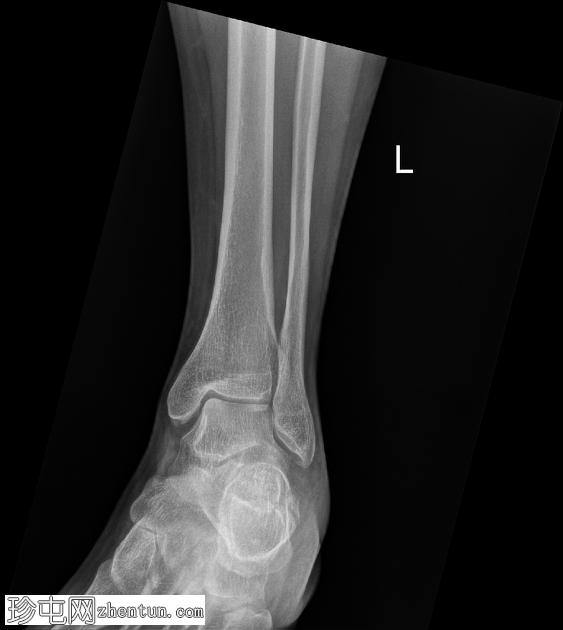
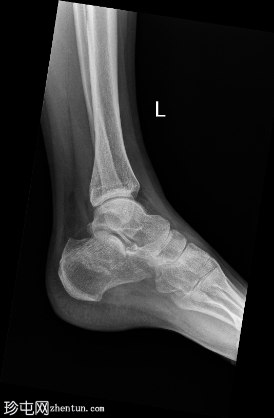
X光片
1.png
侧位片

2.png
侧位片

3.png
斜位片

4.png
正面片
左侧跟骨关节内粉碎性骨折。骨折线贯穿跟骨体,累及并破坏距下关节后关节面,并沿跟骨外侧可见一处骨折。骨折始于距下关节中央,向下向后延伸。跟骨整体高度降低,后关节面凹陷,Böhler角变平,Böhler角明显减小,提示后关节面凹陷。

距骨、舟骨以及外踝和后踝均完整,踝穴和韧带联合完整。距下关节和跟骰关节未见脱位。软组织肿胀亦可见。

病例讨论
跟骨骨折是跗骨中最常见的损伤,通常由轴向负荷力引起,例如高处坠落或高强度冲击创伤。本例左侧跟骨的侧位片和轴向片显示,关节内粉碎性骨折延伸至距下关节后关节面,伴有高度降低和后关节面凹陷。

Böhler角(由跟骨前后关节面连线的交点定义)显著减小(约5-10°,正常值为20-40°)。Böhler角的减小反映了后关节面的塌陷,并提示跟骨结构性损伤严重。

Sanders 分类根据跟骨后关节面的 CT 表现对关节内骨折进行分类,根据该分类,该损伤很可能属于 II 型或 III 型骨折。这些类型涉及一条或多条穿过后关节面的骨折线,并伴有不同程度的粉碎和移位。

建议对跟骨进行 CT 扫描,以全面评估骨折形态、移位程度和关节面受累情况。CT 成像还能提供准确的 Sanders 分类,这对于确定最合适的治疗策略和手术方案至关重要。
您需要登录后才可以回帖 登录 | 注册
Copyright © 2011-2026 东莞市珍屯医疗科技有限公司Powered by zhentun.com
返回顶部