找回密码
 注册

双膦酸盐相关股骨近端骨折

作者:大江 | 时间:2025-10-28 12:00:00 | 阅读:142| 显示全部楼层
就诊
行走时引发右大腿疼痛

患者资料
年龄:70岁
性别:女
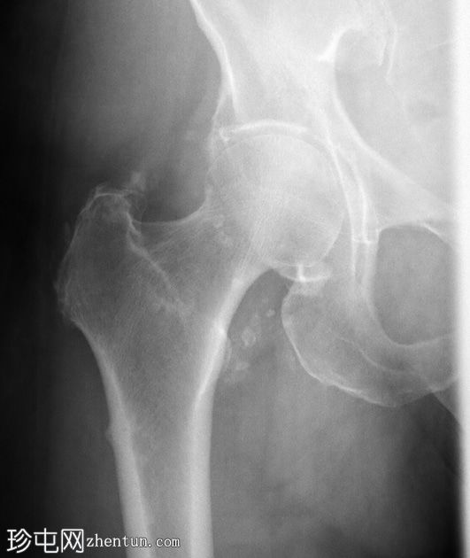
X光片
1.jpg
右股骨干近端1/3可见外侧皮质轻微骨膜增厚。内侧皮质正常。除关节周围软组织钙化外,髋关节未见异常。

MRI
2.jpg
冠状位
T1

3.jpg
冠状位
T2

4.png
冠状位
T2

5.jpg
冠状位T2
脂肪饱和度

6.jpg
轴向PD
脂肪饱和度
一条水平T1和T2低信号骨折线横断右股骨干外侧皮质。近1/3的骨干周长受累,并伴有邻近骨髓水肿。其余皮质骨完整。左股骨未见异常。

病例讨论
该患者有长期服用双膦酸盐类药物的病史,这是众所周知的股骨功能不全性骨折的危险因素。不完全性骨折会影响股骨外侧皮质,如本例所示,应立即治疗,否则可能发展为完全性骨折。治疗方案包括立即停用双膦酸盐类药物并进行髓内钉固定。由于此类骨折通常是双侧的,因此应始终对对侧股骨进行影像学检查。

大多数非典型股骨骨折发生在转子下和骨干中部区域;远端骨干骨折(靠近髁)较少见,且伴有股骨外侧和前方弯曲。
您需要登录后才可以回帖 登录 | 注册
Copyright © 2011-2026 东莞市珍屯医疗科技有限公司Powered by zhentun.com
返回顶部