找回密码
 注册

司机骨折

作者:大江 | 时间:2025-10-26 15:00:02 | 阅读:139| 显示全部楼层
诊疗报告
从自行车上摔下。

患者资料
年龄:40岁
性别:男
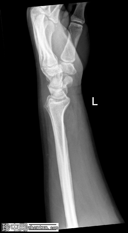
X光片
1.png
正面

2.png
侧面
桡骨茎突骨折,符合Chauffeur骨折的诊断。骨折线斜向延伸至桡骨远端外侧,并累及桡骨茎突。

桡腕关节外观吻合;无明显关节面塌陷。舟骨和其他腕骨外观完整,腕骨列排列正常。尺骨远端和尺骨茎突完整。

旋前方肌脂肪垫抬高,与相关软组织肿胀和骨折相符。

病例讨论
Chauffeur骨折,也称为Hutchinson骨折,通常由桡骨茎突直接受击或手部伸展跌倒所致,腕关节被迫背屈并桡偏。这种类型的骨折可能延伸至桡腕关节,有时也可能由桡舟头韧带撕脱引起。

本例中,桡骨茎突骨折块移位轻微,腕骨排列保持完整。可见旋前方肌脂肪垫隆起,提示与骨折下部相关的软组织水肿。
您需要登录后才可以回帖 登录 | 注册
Copyright © 2011-2026 东莞市珍屯医疗科技有限公司Powered by zhentun.com
返回顶部